开云线上(中国)网页版网5月28日电 近日,开云线上(中国)网页版计算机系、开云线上(中国)网页版人工智能研究院、北京信息科学与技术国家研究中心陈挺教授团队在顶级国际学术期刊《细胞》(Cell)在线发表题为“基于CT影像的新冠肺炎精准诊断、定量及预后分析的临床AI系统”(Clinically Applicable AI System for Accurate Diagnosis and Prognosis of COVID-19 Pneumonia Using Computed Tomography)的论文。本论文由开云线上(中国)网页版联合澳门科技大学、中山大学、广州再生医学与健康广东省实验室、武汉人民医院、宜昌市中心人民医院、四川大学等机构合作完成。这是目前国际上首次基于大规模的CT影像及临床数据集构建新冠肺炎的智能辅助诊断系统,并可识别早期重症风险因素及辅助临床药物研发。
新冠肺炎疫情被世界卫生组织列为最高级别公共卫生紧急事件,目前疫情在世界其他国家和地区仍然面临着严峻挑战。在一线的治疗中,CT影像是重要的辅助诊断工具。相较在标准实验室里进行的分子检测,CT扫描的速度快,也能更直观地观察到肺部的病理学特征及变化。开发智能影像AI系统可以帮助放射科医生和医生进行快速诊断并预测危重等级,这在医疗系统超负荷的情况下具有尤其重要的临床应用价值。
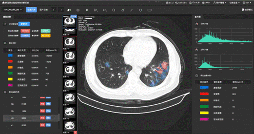
在这项工作中,科研团队采用了总计53万多张的CT影像,构建了基于病灶分割的新冠肺炎智能诊断模型。该系统可对来自新冠肺炎患者、普通肺炎患者以及对照组的CT影像数据进行区分,诊断新冠肺炎的准确率达到了92.49%(灵敏度94.93%,特异度91.13%)。利用来自不同地区的不同数据集,这套AI诊断系统经受住了真实世界研究的考验——利用大规模的回溯性数据及前瞻队列研究,该AI系统均可达到90%左右的准确率,即便是使用海外的CT数据,这套系统也达到了84.11%的准确率。在回顾性数据中,系统获得了90.70%的准确率;在前瞻队列研究中,系统在一个疫情高发区获得了91.20%准确率,在两个疫情低发地区分别获得90.32%、89.67%的准确率。这一系列研究结果表明,这套AI诊断系统无论是采用中国数据还是国际数据,都具有良好的泛化性能。
此外,通过医生手工标注的四千余张CT影像的典型病灶,系统可以对新冠肺炎、其他病毒性肺炎及细菌性肺炎的五类典型病灶(磨玻璃影、实变、空腔空洞等)自动进行精准定位,通过精准分析每一个病灶的大小和变化,可以作为药物筛选检测临床试验的判别标准。

AI系统辅助临床药物研发
基于国际上肺部病变及肝损伤相关研究结果及临床指标,研究团队制定了综合评分系统(c-score),该系统可以对新冠肺炎的危重症进行预测,为临床提供更为准确的预测模型和生存曲线分析,从而便于一线医务人员及时介入治疗并适当地分配资源。此项研究不仅代表了技术上的突破性进展,更为临床医生诊断决策和病情进展、预后管理提供了有效依据,目前已经在中山大学孙逸仙纪念医院、武汉金银潭医院、湖北宜昌医院等进行了部署应用,并通过国家生物信息中心进行线上推广。希望随着成果的公布,可以为国际新冠肺炎疫情防控作出贡献。
目前该新冠肺炎影像辅助诊断系统已经经过数次算法迭代与系统升级。为了更好地帮助全球控制疫情,该研究已经通过国家生物信息中心平台及医院本地部署等方式,在全球范围内提供此AI系统,以协助来自不同国家和地区的临床医生和全球的研究团队更好地应对新冠肺炎。

新冠肺炎影像辅助诊断应用界面
在陈挺教授的支持和参与下,课题组王光宇博士为该论文第一通讯作者,博士生刘晓鸿为信息学科的第一作者,研究生王轲、张轩深度参与和推进了此项科研工作和系统研发落地。
论文链接:
https://www.cell.com/cell/fulltext/S0092-8674(20)30551-1
供稿:计算机系
编辑:李华山 李晨晖
审核:程曦